Presurgical Embolization of Brain Meningiomas

Αρχική » Presurgical Embolization of Brain Meningiomas
Presurgical Embolization of Brain Meningiomas

Presurgical Embolization of Brain Meningiomas

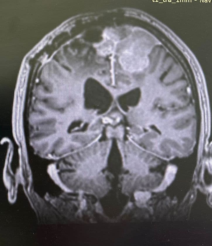
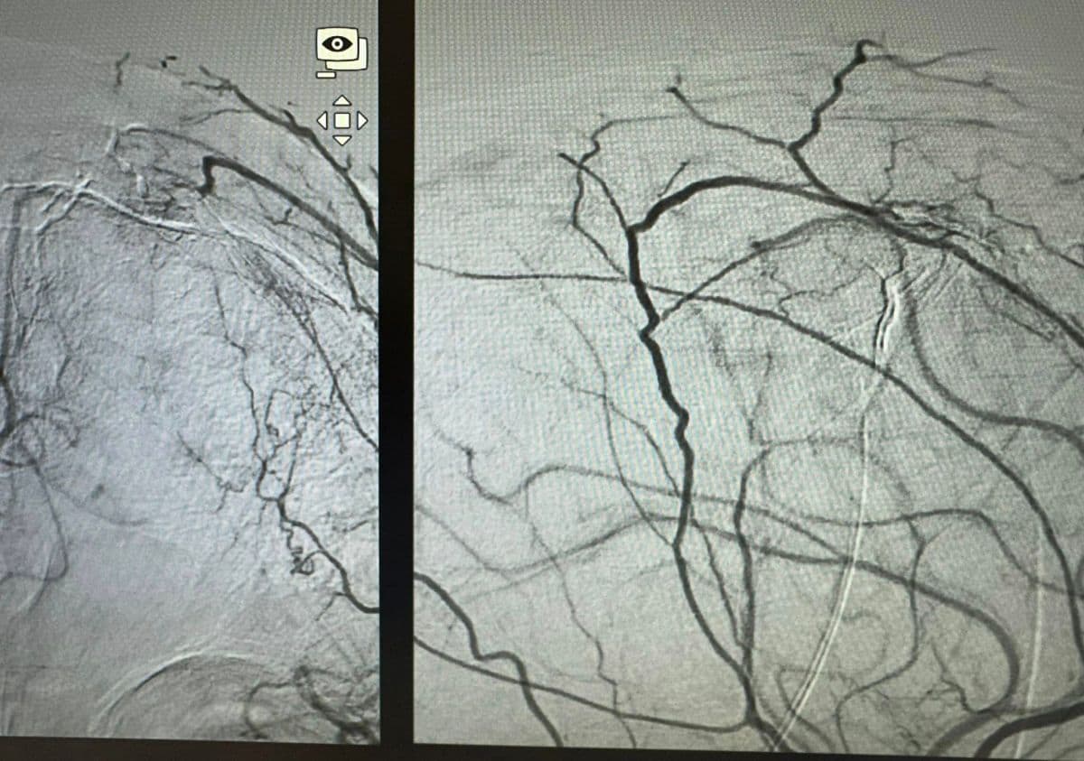
Presurgical Embolization of Brain Meningiomas reduces intraoperative hemorrhagic events and fascilitates surgical excision (Professor of Neurosurgery and Endovascular Neurosurgery V. Panagiotopoulos & Professor of Interventional Neuroradiology P. Zampakis).